審美歯科とは?
審美歯科とは、通常行っている虫歯や歯周病の治療に「美」という視点を加えた治療法です。白くて綺麗な歯並びで自分に自信を持ち、より豊かなライフスタイルを送って頂くことを目的とした治療法です。ここでは審美歯科に関する様々な治療例を紹介します。
![]() |
![]() |
![]() |
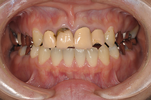
| Befor | After |
変色した治療のあとと歯並びを気にされ来院された患者様の症例です。前歯6本の治療にジルコニアセラミックスを選択された結果、歯並びも整い健康的で綺麗な口元に改善されました。
![]() |
![]() |
![]() |
| Befor | After |
歯の形と変色してしまった色を気にされ来院された患者様の症例です。前歯2本の治療にオールセラミックスを選択された結果、修復物とは分からいくらい自然で綺麗な口元に改善されました。
![]() |
![]() |
![]() |
| Befor | After |
変色し、かけてしまった前歯4本の治療にメタルセラミックスを選択された患者様の症例です。歯並びも整い大変綺麗な状態に改善されました。
![]() |
![]() |
![]() |
| Befor | After |
保険診療で治療されていた前歯が変色し、かけてしまった患者様の症例です。前歯4本の治療にハイブリッドセラミックスを選択された結果、綺麗な状態に改善されました。
![]() |
![]() |
![]() |
| Befor | After |
前歯4本の表面をわずかに削り、ラミネートベニヤを装着された患者様の症例です。白くて綺麗な状態に審美的に改善されました。
![]() |
![]() |
![]() |
| Befor | After |
銀色の詰め物からセラミックインレーに変更された患者様の症例です。治療をしている歯とは分からないくらい自然で綺麗な状態に改善されました。
![]() |
![]() |
![]() |
| Befor | After |
6本の銀色の詰め物から、ハイブリッドインレーに変更された患者様の症例です。口の中が暗く感じてしまう銀歯とは異なり、白くて綺麗な状態に改善されました。
![]() |
![]() |
![]() |
| Befor | After |
ホームホワイトニングとオフィスホワイトニングを同時に行った患者様の症例です。とても明るく白い歯に改善されました。
![]() |
![]() |
![]() |
| Befor | After |
下顎の大臼歯部にインプラントを選択された患者様の症例です。入れ歯と異なりしっかりと噛める綺麗な状態に改善されました。





















